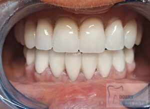
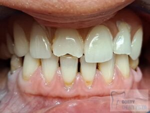
Nowy uśmiech

Nasza ostatnia metamorfoza 🧏🏼‍♀️🦷
Jak pacjentka tak i my jesteśmy bardzo zadowoleni z efektu 🤗
Zapraszamy serdecznie na konsultacje protetyczne 👩🏼‍💻

Leave a reply